Mide ağrısı sandı, aortunda yırtık çıktı

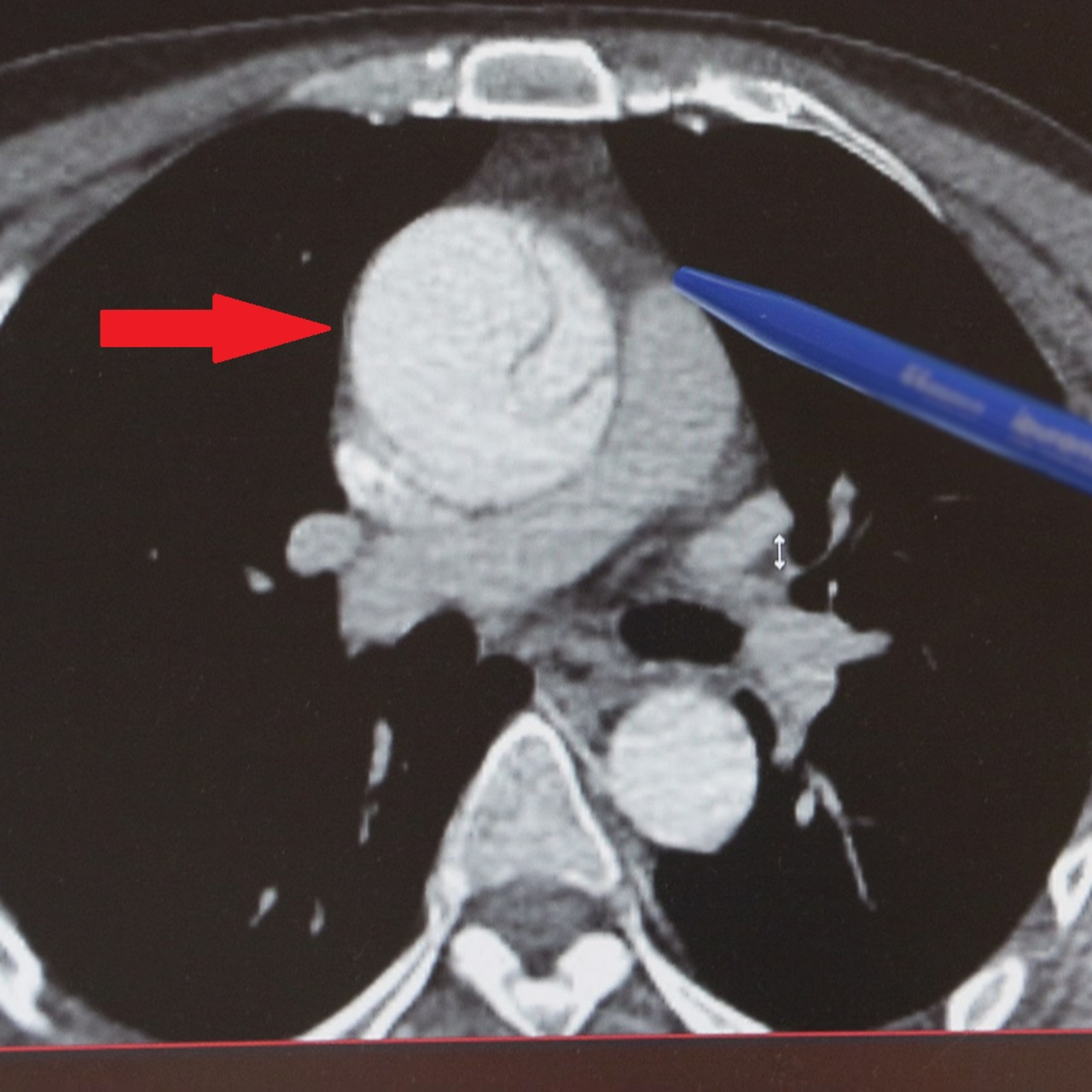
İstanbul'da 41 yaşındaki Mustafa Turan, göğsünden karnına doğru aniden başlayan şiddetli bir ağrı ile acile kaldırıldı. Tetkikleri normal çıktı, mide ağrısı sanılıp eve gönderildi. Sonraki 24 saat boyunca ağrısı hiç az
Habertürk | 18/11/2023
Yorum yap
Yorum Yok
İstanbul'da 41 yaşındaki Mustafa Turan, göğsünden karnına doğru aniden başlayan şiddetli bir ağrı ile acile kaldırıldı. Tetkikleri normal çıktı, mide ağrısı sanılıp eve gönderildi. Sonraki 24 saat boyunca ağrısı hiç azalmadı, gece 02:00 sularında Göztepe Süleyman Yalçın Şehir Hastanesi aciline gitti ve nöbetçi doktorun dikkati sayesinde yapılan ileri tetkiklerle, aort damarında anevrizmaya (baloncuk) bağlı yırtık olduğu tespit edildi. Acilen ameliyata alınan Turan, şans eseri ölümden döndü. Kalp Damar Cerrahisi Klinik Şefi Prof. Dr. Ebuzer Aydın, risk grubunda olanların düzenli kontrol yaptırması gerektiğini söyledi ve "Yırtığa bağlı acil ameliyatla, planlı ameliyatlar arasında ölüm riski açısından 4-5 kat fark var" dedi
Kaynak: Habertürk | Haberin tamamı
Haberi Yorumla
Yorum Yok
Beğen
Haberde kim var?